
Lésions méniscales
Causes, symptômes et chirurgie arthroscopique
Le rôle des ménisques dans le genou
Les ménisques sont deux structures fibrocartilagineuses en forme de croissant situées entre le fémur et le tibia. Chaque genou en possède deux : le ménisque médial, situé à l’intérieur, moins mobile et donc plus exposé aux lésions, et le ménisque latéral, à l’extérieur, plus souple et moins sujet aux dommages. Leur rôle est fondamental pour le bon fonctionnement de l’articulation : ils répartissent la charge entre le fémur et le tibia, réduisent la pression sur le cartilage, absorbent les chocs et améliorent la stabilité articulaire.
​
Pourquoi les ménisques se blessent-ils?
es lésions méniscales varient selon leur forme et leur gravité. Parmi les plus fréquentes, on trouve:
​
-
La déchirure longitudinale, qui peut évoluer en lésion en anse de seau
-
La déchirure radiale, qui interrompt les fibres et compromet la répartition des charges
-
La déchirure horizontale, souvent d’origine dégénérative, pouvant entraîner la formation de kystes méniscaux
-
La déchirure complexe, qui combine plusieurs types de lésions et est typique des cas d’usure articulaire
​
Si vous ressentez une douleur au genou, accompagnée d’un gonflement ou de difficultés à bouger, vous pourriez avoir une lésion méniscale.
Ces structures clés pour la stabilité et la fonctionnalité du genou peuvent être endommagées par un traumatisme sportif, des mouvements brusques ou l’usure du temps.
Comprendre les causes, les symptômes et les options de traitement, y compris la chirurgie arthroscopique, est essentiel pour retrouver mobilité et confort.
​
​
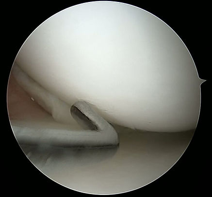
Chirurgie arthroscopique du ménisque
Lorsque la douleur, le gonflement et la limitation des mouvements persistent, l’arthroscopie devient une solution efficace.
​
La suture méniscale est privilégiée chez les jeunes patients et les sportifs, à condition que la lésion se situe dans la zone vascularisée du ménisque. Cette approche permet une guérison naturelle du tissu et préserve la fonctionnalité de l’articulation.
​
Après l’opération, la récupération nécessite l’utilisation de béquilles pendant quelques semaines, avec un retour progressif au sport, généralement entre trois et six mois.
​
Si la lésion se situe dans une zone non vascularisée et ne peut pas être réparée, on procède à une méniscectomie partielle, qui consiste à retirer sélectivement le fragment endommagé.
Dans ce cas, le rétablissement est plus rapide la marche est possible immédiatement après l’intervention, sans béquilles, les activités quotidiennes reprennent en une à deux semaines, et la reprise du sport est envisageable au bout d’environ un mois.
​
Effets à long terme
La perte partielle du ménisque peut accélérer la détérioration du cartilage et augmenter le risque de développer une gonarthrose précoce. C’est pourquoi, chez les jeunes et les sportifs, les techniques de préservation méniscale sont privilégiées autant que possible.
Une intervention ciblée et mini-invasive permet un rétablissement rapide et un retour aux activités quotidiennes et sportives.
En cas de douleur persistante au genou et de suspicion de lésion méniscale, une évaluation spécialisée est la première étape pour déterminer le traitement le plus adapté.

F.A.Q.
1. Comment prévenir une nouvelle lésion du ménisque?
Renforcer les muscles de la cuisse et du genou, améliorer les techniques de mouvement et porter des chaussures adaptées réduit le risque de blessure. Un bon échauffement avant l’activité physique et une écoute attentive des signaux corporels – en évitant les efforts excessifs ou les mouvements brusques – contribuent également à protéger le ménisque.
​
2. Après une opération du ménisque, quand pourrai-je reprendre le sport?
La durée du rétablissement dépend du type d’intervention. Après une méniscectomie partielle, une activité légère peut être reprise au bout de 4 à 6 semaines. En cas de suture méniscale, le rétablissement est plus long, avec un retour aux sports de contact prévu vers 5 à 6 mois.